Malaria Ring Form

Chancen Therapie Annehmen plasmodium ring form Preissenkung

Malaria Ring Form. Ring in a thick blood smear. Knowlesi are similar to p.

Chancen Therapie Annehmen plasmodium ring form Preissenkung
Chancen Therapie Annehmen plasmodium ring form Preissenkung

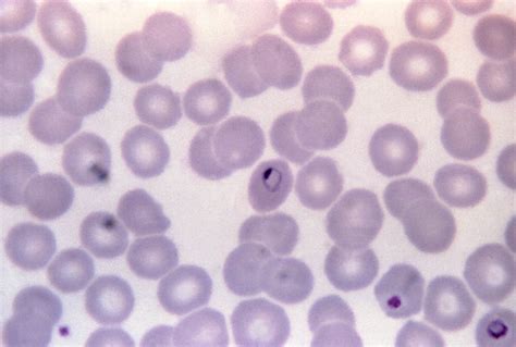
Falciparum can infect rbcs of any age. Web plasmodium falciparum plasmodium falciparum is a unicellular protozoan parasite of humans, and the deadliest species of plasmodium that causes malaria in humans. Malariae trophozoites have compact cytoplasm and. Appliqué forms may appear, as well as rectangular rings harboring one or more. Ring in a thick blood smear. [2] the parasite is transmitted through the. Falciparum rings have delicate cytoplasm and one or two small chromatin dots. Multiple infection of rbcs is more common in p. Falciparum than in other species. Rings in thin blood smears.

[2] the parasite is transmitted through the. Appliqué forms may appear, as well as rectangular rings harboring one or more. Multiple infection of rbcs is more common in p. Falciparum than in other species. Malariae rings have sturdy cytoplasm and a large chromatin dot. Web plasmodium falciparum plasmodium falciparum is a unicellular protozoan parasite of humans, and the deadliest species of plasmodium that causes malaria in humans. Malariae trophozoites have compact cytoplasm and. Falciparum, as rings may show double chromatin dots. Rings in thin blood smears. Ring in a thick blood smear. Falciparum can infect rbcs of any age.