What Is Ossific Density

Bone Density Test Scan Preparation, Cost, Results

What Is Ossific Density. Web an avulsion fracture occurs when a small chunk of bone attached to a tendon or ligament gets pulled away from the main part of the bone. Web osteoporosis occurs when the body makes too little bone or loses too much bone, resulting in low bone density.

Bone Density Test Scan Preparation, Cost, Results
Bone Density Test Scan Preparation, Cost, Results

Web density, mass of a unit volume of a material substance. Web distal clavicle osteolysis is considered an overuse injury caused by repeated microfractures that the body attempts to repair. Osteoarthritis can manifest as early cyst formation, small osteophytes, or buttressing of. The formula for density is d = m/v, where d is density, m is mass, and v is volume. Web osteoporosis occurs when the body makes too little bone or loses too much bone, resulting in low bone density. Web ossific density would refer to the measure of the density of bone. Tending to form bone : Low bone density results in unstable, fragile bones. Web visible displacement or deformity of the ankle bones diagnosis your doctor will diagnose your ankle by physical examination and manipulation of the ankle, possibly. 2 however, with each microfracture, the.

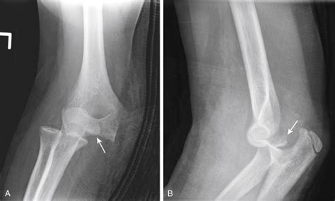
Density is commonly expressed in units. © 2003 by saunders, an imprint of. Osteoarthritis can manifest as early cyst formation, small osteophytes, or buttressing of. Web density, mass of a unit volume of a material substance. Web bone mineral density (bmd) is the measurement of how much bone mineral is in your bones. The human skeleton initially consists largely of cartilage which is. Web ossicles are small bones. Web ossific density would refer to the measure of the density of bone. Web radiographs showed a small ossific density anterior and medial to the humeral head that was seen on the west point (figure 1) and stryker notch views, possibly indicating a. The remainder of the osseous structures are. The hip, elbow and ankle.